В клинику сети «Свой Доктор» обратились владельцы с котом, метис, 9 лет, кастрированый. Жалобы заключались в частом мочеиспускании малыми порциями последние 3 дня, общем угнетении, снижении аппетита, а также присутствовали признаки спазмов и болевого синдрома. При осмотре животного были отмечены: зажатая поза тела, болезненная реакция от прикосновений к спине, животу, гипертермия.


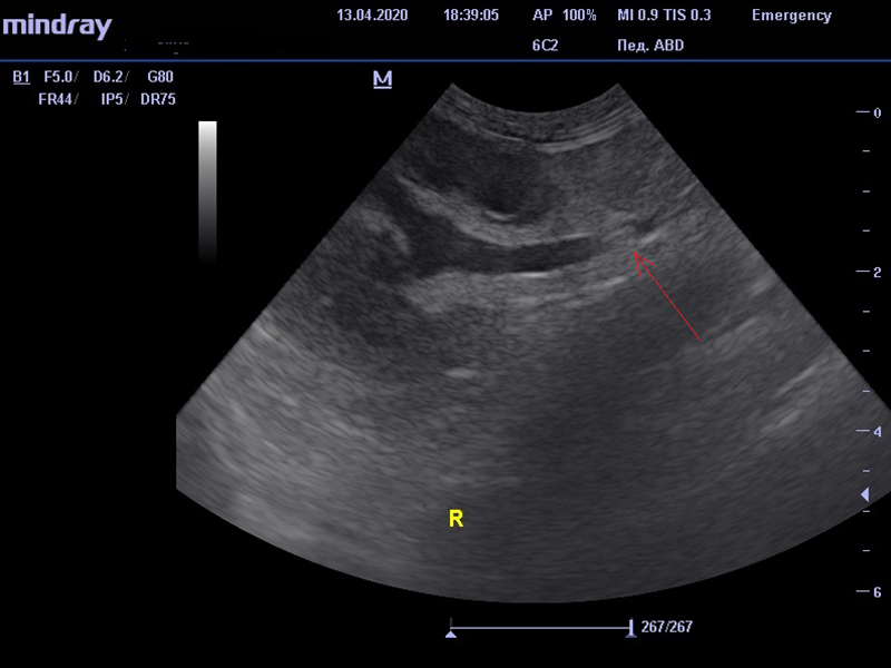
В качестве диагностики врачом было проведено ультразвуковое исследование, в результате чего было выявлено утолщение стенки мочевого пузыря, наличие осадка в мочевом пузыре. При исследовании почек отмечено повышение эхогенности мозгового слоя, а также наличие односторонней пиелоэктазии – патологического расширение лоханки почки. Мочеточник также был расширен, в его проксимальной части визуализировалась эхогенная структура, не дающая акустической тени, далее мочеточник сужался. Предполагалось, что данная структура в мочеточнике является сгустком слизи, которая может образоваться в силу бактериальной инфекции мочевыделительной системы.
В качестве дальнейших исследований была взята моча путем цистоцентеза под контролем УЗИ для выполнения посева с определением чувствительности к антибиотикам и общего анализа мочи, а также был выполнен забор крови на общий анализ и биохимию. Животному была оказана симптоматическая помощь, назначены спазмолитики, антибиотик первого выбора пенициллинового ряда, жаропонижающее. Через 2 дня на контрольном осмотре владельцы сообщили врачу, что состояние их питомца значительно улучшилось, появился аппетит, частое мочеиспускание прекратилось на второй день от начала приема антибиотика. По общему анализу крови был отмечен лейкоцитоз, общий анализ мочи – протеинурия, лейкоцитоз, скрытая гематурия. Результат биохимического анализа крови – без особенностей.
Через 2 недели по результату посева мочи была обнаружена бактерия Enterococcus faecalis в умеренном количестве. По результату данного анализа антибиотик первичного выбора менять не пришлось, т.к. он находился в списке с высокой чувствительностью.
После комплексного лечения воспалительного процесса мочевыделительной системы был проведен контрольный осмотр животного и ультразвуковое исследование, по которому наблюдалась положительная динамика, отсутствие дилатации мочеточника и пиелоэктазии. По наблюдениям владельцев, состояние кота пришло в норму, более жалоб на самочувствие не было. Для дальнейшего контроля состояния животного и предупреждения рецидива инфекции мочевыделительной системы было рекомендовано с определенной периодичностью сдавать общий анализ мочи и проходить профилактические осмотры у ветеринарного врача.
Ветеринарный врач Медведева О.Н.
СВК «Свой Доктор»