В ветеринарную клинику «Свой Доктор» поступила собака породы йоркширский терьер, возраст 11 лет, кобель, кличка Чарли, с целью проведения ультразвуковой диагностики мочевыделительной системы. Направление на исследование владельцам дали в сторонней клинике, в которой наблюдается животное. Причина для проведения исследования – частое мочеиспускание на протяжении длительного периода времени, присутствие крови в моче, болезненность при мочеиспускании.
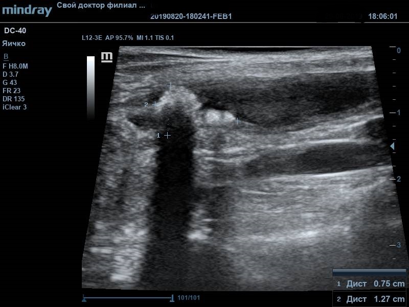
Во время УЗ-диагностики были обнаружены следующие изменения: неравномерное утолщение стенки мочевого пузыря (от 0,3 до 0,7см), слизистый слой гиперэхогенный. В содержимом мочевого пузыря присутствовал обильный крупнодисперсный осадок. В области мочевого треугольника визуализировалось пристеночное рыхлое ассиметричное образование с признаками васкуляризации, размер образования 1,27*0,75см. По заключению данного исследования дифференциальным диагнозом стало новообразование мочевого пузыря, в т.ч. злокачественное. Подобный диагноз окончательно ставится только по результату гистологического исследования материала. Получение материла для проведения анализа возможно в подобных ситуациях только посредством травматической катетеризации или открытой биопсией. Если подтверждается наличие злокачественной опухоли, то в таком случае разрабатываются план хирургического лечения (если оно возможно) и схема курсов химиотерапии.
Для дальнейшей диагностики животному было назначено сдать общий анализ мочи, общий анализ крови и биохимию крови, а также выдано направление на прием онколога. В связи с тем, что владельцы жаловались на самочувствие собаки, на приеме была назначена симптоматическая терапия в виде длительного приема спазмолитических средств, кровоостанавливающих препаратов, а также антибиотика первого выбора (пенициллиновый ряд).
Владельцы сдали все рекомендованные анализы и провели процедуру открытой биопсии с использованием общей анестезии. По результатам гистологического исследования взятого материала был поставлен окончательный диагноз: «Переходно-клеточный рак мочевого пузыря».
Основу лечения переходно-клеточного рака составляет консервативная терапия и иссечение объемного образования.
К сожалению, владельцы предпочли вернуться в стороннюю клинику для дальнейшего лечения, однако нам удалось поддерживать с ними связь и удостовериться, что животное прошло все этапы намеченного лечения. Состояние на данный момент у Чарли удовлетворительное.
Уважаемые владельцы, не стоит отказываться от лечебных мероприятий, даже если врачи не могут добиться полного излечения. Ведь правильно подобранная терапия вкупе с операционным вмешательством способна приводить к ремиссии или стабилизации течения рака. К тому же, данное лечение в большинстве случаев хорошо переносятся животными, улучшается его качество жизни, увеличивает выживаемость животного сроком более чем на 1 год.
Желаем Вас и Вашим питомцам долгой и счастливой жизни.
Ветеринарный врач сети «Свой Доктор» филиал Университет
Медведева О. Н.



