
Дерматофития – это заболевание, вызванное тропными к кератинизированным тканям грибами – представителями родов Microsporum, Trichophyton и Epidermophyton.
Дерматофиты делятся в зависимости от резервуара (источника) заражения на:
- зоофильные (животные): Microsporum canis, M.gallinae, M.nanum, Trichophyton verrucosum.
- лесные (грызуны, ежики): Trichophyton mentagrophytes, Microsporum persicolor.
- геофильные (почва): Microsporum gypseum, M.fulvum, M.vanbreuseghemii, M.cookei.
- антропофильные (человек): Trichophyton tonsurans, T.rubrum, Epidermophyton floccosum, Microsporum audouinii.
По распространенности у собак и кошек лидирует Microsporum canis (70%). Также встречается Microsporum gypseum (15%), Trichophyton mentagrophytes (10%) и Microsporum persicolor (5%).
В этой статье я хочу поделиться двумя своими клиническими случаями дерматофитии у собак.
Случай №1
На прием была доставлена 9-ти месячная нестерилизованная сука породы Бишон Фризе. Вакцинации согласно возрасту. Обработки от эктопаразитов – флураланер 8 недель назад. Содержание квартирное. Аппетит, жажда в норме.

Жалобы на кожные поражения на морде, на вылизывание межпальцевых промежутков на передних конечностях, помутнение роговицы на обоих глазах.
На клиническом осмотре: Т,П,Д – норма. Видимые слизистые бледно - розовые, умеренно влажные. Лимфоузлы (подчелюстные, подмышечные) – без особенностей. Алопеция, эритема, эксфолиации на морде, в области губ, в периорбитальной области симметрично на обоих глазах. Межпальцевые промежутки на всех конечностях - эритема, с пальмарной и плантарной сторон – эритема, отечность, эксфолиации. НСП – норма. Спина, бока, живот, грудь, подмышки – норма. Правый глаз – язва роговицы, левый глаз – помутнение роговицы.

Дифференциальные диагнозы: ювенильный целлюлит/стерильный панникулит, лекарственная реакция, дерматофития (керион), поверхностная пиодерма, бактериальный фурункулез, малассезиозный дерматит, демодекоз.
- В соскобах клещей Demodex canis не обнаружено.
- Трихоскопия – волосы нормального строения, нет пораженных дерматофитами волос в препарате. Люминесцентная диагностика – отрицательно.
- В цитологическом исследовании мазка-отпечатка с кожи: малассезии +++.
Предварительный диагноз: малассезиозный дерматит.
Не исключенные диагнозы: ювенильный целлюлит/стерильный панникулит, лекарственная реакция, дерматофития (керион), бактериальный фурункулез.
Назначена противогрибковая терапия (Ирунин) + местные обработки кожи в межпальцевых промежутках 3% раствором уксуса до результатов гистологии и рекомендована консультация офтальмолога.
Заключение по биопсийному материалу.
Морфологический диагноз: фурункулез, пиогранулематозный перифолликулярный дерматит. Этиологический диагноз: с подобной гистологической картиной могут протекать следующие заболевания (в порядке убывания вероятности в данном случае): бактериальный фурункулез, керион (дерматофития), ювенильный целлюлит / стерильный панникулит, синдром стерильной гранулемы / пиогранулемы, инфекционный пиогранулематозный процесс.
Взята гистология (2 биоптата с помощью панча).
На фото собака через 4 недели лечения Ирунином.

После получения результатов гистологического исследования было принято решение о дополнительном PAS – окрашивании гистосрезов для исключения дерматофитии (кериона).
После 14 –дневного курса приема Ирунина владелец отмечает уменьшение покраснения кожи, снижение зуда, появление роста новой шерсти (единичные волосы). Собака активна, аппетит в норме. Принято решение до результатов PAS - окраски перейти на «пульсовый» прием Ирунина. Также собака получает лечение, назначенное офтальмологом.
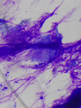
На фото Трихофитон. Гистосрез.

Заключение по гистосрезам с PAS – окраской – дерматофития (предположительно – трихофития).
В общей сложности собака получала противогрибковое лечение на протяжении 9 недель.

Случай №2
3-х годовалый некастрированный кобель породы лабрадор - ретривер. Вакцинирован согласно возрасту. Обработки от эктопаразитов отсутствуют.
Жалобы: хромает на левую тазовую конечность, постоянно лижет лапу. Заметили несколько дней назад.

На клиническом осмотре: Т,П,Д – норма. Видимые слизистые бледно - розовые, умеренно влажные. Лимфоузлы (подчелюстные, подмышечные, паховые) – без особенностей. Голова, спина, бока, подмышечные впадины, живот, пах – норма. Грудные конечности – норма. На левой тазовой конечности плантарно очаговая алопеция, эритема, узел. Межпальцевые промежутки в норме. Правая тазовая конечность – норма. НСП – норма.
Дифференциальные диагнозы: бактериальный фурункулез как следствие травмы, демодекоз, дерматофития (керион), новообразование неясной этиологии.
В соскобах клещей Demodex canis не обнаружено.
Трихоскопия – обнаружены волосы, пораженные дерматофитами.
Диагноз: дерматофития (керион).
Собаке было назначено противогрибковое лечение (Ирунин).
Через 2,5 недели керион незначительно уменьшился в размере, а в области 3, 4 межпальцевых промежутков стали визуализироваться 2 вскрывшихся свища.
Цитологическое исследование отделяемого из свища: споры дерматофитов ++, палочки+, нейтрофилы дегенеративные +++, макрофаги++.
Окончательный диагноз: дерматофития (керион), глубокая бактериальная инфекция.
Собаке также был назначен курс антибиотика.
Через 2 недели свищи отсутствовали, кожа 3,4 межпальцевых промежутков в норме. На месте кериона появился рост новой шерсти, отечности и эритемы не было. Общая длительность лечения составила 8 недель.
