В клинику обратились владельцы кошки Читы с жалобой на рвоту, резкое снижение аппетита в течение 2 дней, вялость, отсутствие дефекации и нормальной жажды. При сборе анамнеза удалось узнать, что кошка содержится дома, была привита, хлорсодержащими моющими средствами владельцы не пользовались, комнатных растений, опасных для кошек, в квартире не имелось.
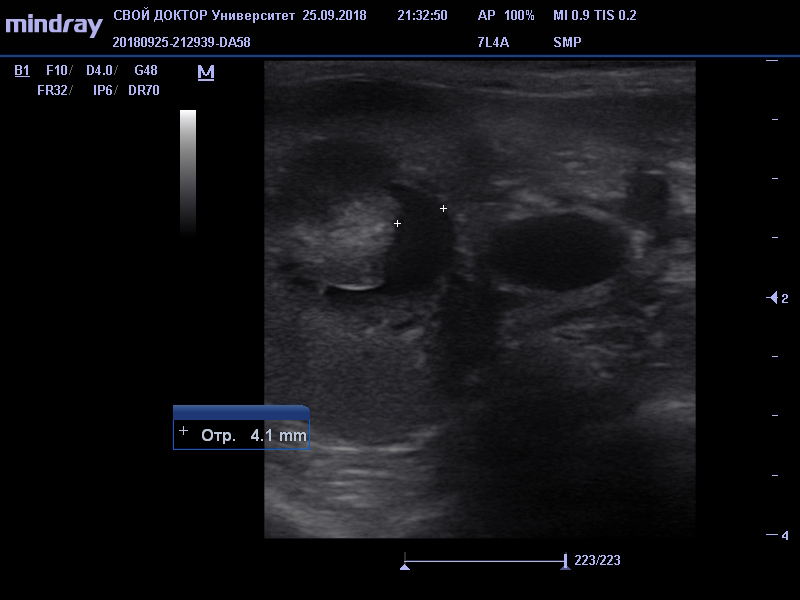
На приеме были выявлены следующие клинические признаки: нормальная температура тела, бледность слизистых оболочек, резкий запах из ротовой полости, средняя степень обезвоживания, при аускультации легких и сердца шумов не обнаружено, болезненность брюшной полости, пальпировалась увеличенная левая почка. Было выполнено УЗИ брюшной полости - обнаружилась уменьшение правой почки, и наоборот резкое увеличение левой почки с признаками нефрита. Был сделан вывод, что правая почка уже давно не выполняла свою очистительную функцию (о чем говорили ее маленькие размеры и резкое снижение кровотока), в данный же момент единственно работающая левая почка была воспалена. Были сданы общий клинический и биохимический анализы крови.



Животное было помещено в стационар, где был выполнен забор крови, забор анализа мочи, измерение давления, установка внутривенного катетера, и начата инфузионная терапия. Лечение заключалось в обезболивании животного, применении спазмолитических препаратов, противовоспалительных стероидных, антибиотиков, солевых и коллоидных растворов, аминокислот, гастропротекторов. Животному осуществлялось выпаивание сорбентов, слабительных препаратов, принудительное кормление.
Анализы крови на следующий день подтвердили почечную недостаточность и нефрит- почечные показатели креатинин и мочевина были завышены в 4 и 5 раз соответственно, присутствовал лейкоцитоз и анемия. Было принято решение проводить терапию далее в стационаре. Каждый день проводился контроль почечных показателей для оценки динамики. Спустя 10 дней кошка была выписана с хорошими показателями крови и отличным самочувствием.
В дальнейшем было рекомендовано записаться на прием к ветеринарному врачу-нефрологу и пожизненно находиться на систематическом контроле для предупреждения резкого ухудшения состояния.
Флинт А.А.
ветеринарный врач филиала «Университет»
сети ветеринарных клиник «Свой Доктор»