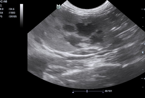
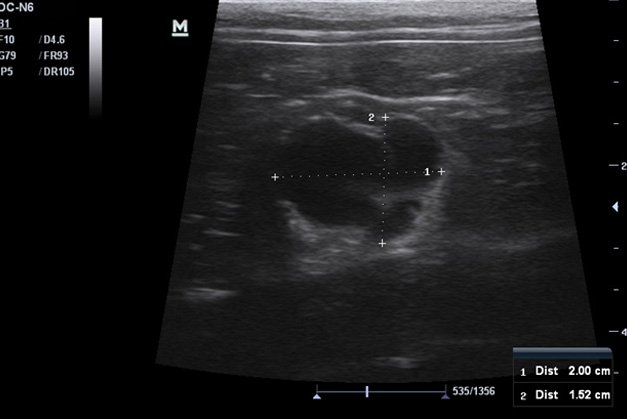
В сентябре 2018 года на плановый осмотр обратилась владелица кота Бони, возраст 8 лет. Во время диспансеризации была проведена ультразвуковая диагностика брюшной полости, по результатам которой была обнаружена патологическая структура на левой почке размером 2,0*1,5 см. Был поставлен предварительный диагноз – киста почки.
Для подтверждения диагноза с согласия владельцев была проведена пункция образования с аспирацией (откачиванием) жидкости под контролем УЗИ, под общей анестезией. После аспирации УЗ-картина левой почки соответствует норме. Аспирированная жидкость была отправлена в лабораторию на цитологическое исследование. По результатам цитологического исследования образование было идентифицировано как неинфицированная киста.
После проведенных процедур общее состояние кота удовлетворительное. Жалоб у владельцев нет. Через 2 месяца назначено плановое УЗИ мочевыделительной системы (почек и мочевого пузыря).
Для контроля здоровья животных, в особенности возрастных (старше 7 лет), важно проводить ежегодно плановую диспансеризацию, включающую в себя, в том числе, и ультразвуковое исследование брюшной полости. Таким образом возможно выявить патологии на ранних этапах развития до проявления симптомов, избежать острых процессов и выполнить процедуры в плановом порядке. При возникновении вопросов необходима консультация ветеринарного врача.
Ветеринарный врач Касаткина И.В., ассистент ветеринарного врача Поверичева Я.В.

