Уже ни для кого не секрет, что стерилизация кошек и собак это необходимая операция, которая позволяет продлить им жизнь. При стерилизации животных до первой течки вероятность возникновения опухоли молочной железы составляет 0,05%. Таким образом, ранняя стерилизация животных является профилактикой онкологических заболеваний репродуктивных органов.
Итак, вы решили стерилизовать Вашего питомца и готовитесь к посещению ветеринарного врача. Какой метод проведения данной операции стоит выбрать? И какие методы вообще существуют на данный момент? В данной статье мы поможем Вам ответить на эти вопросы.
До недавнего времени овариогистерэктомию (или как ее проще называют, стерилизацию), проводили только «открытым» способом. Что это значит? Например, у кошек, операция проводится через разрез около 5 см, яичники и матка извлекаются из брюшной полости и лигируются, то есть накладывается шовный материал. Далее проводится ушивание мышц и кожного дефекта. В послеоперационном периоде есть необходимость ухода за швами и снятие их через 8-10 дней. У собак техника проведения данной операции та же, но со значительно большим кожным дефектом (около 10 см).
Последние несколько лет в ветеринарии начали активно применяться эндоскопические технологии.
Проведение лапароскопической операции значительно отличается по технике, а так же требует наличия специализированного оборудования и квалифицированного хирурга-эндоскописта.
Что же такое лапароскопическая операция?
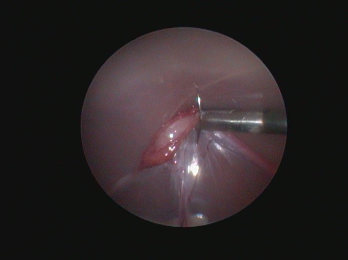
Лапа̀роскопи́я (др.-греч. λαπάρα — пах, чрево + др.-греч. σκοπέω — смотрю) — современный метод хирургии, в котором операции на внутренних органах проводят через небольшие (обычно 0,5—1,5 см) отверстия, в то время как при традиционной хирургии требуются большие разрезы. Для удобства визуализации при проведении операции необходимо «надуть» брюшную полость пациента углекислым газом или, как это правильно называется, создать карбоксиперитонеум.
Так в чем же преимущества данной операции?

- Операция проводится через небольшие «проколы», до 1 см. Поэтому лапароскопические операции являются малотравматичными и снижают послеоперационные боли, а так же снижают время реабилитации, что очень важно для наших маленьких пациентов.
- При лапароскопических операциях используются специальные инструменты, которыми проводится удаление яичников и матки без контакта рук хирурга с брюшной полостью. Это сводит к минимуму возможность инфицирования раны и возникновения послеоперационных осложнений.
-
Во время операции «глазами» хирурга является специальная камера- лапароскоп, диаметр которой, обычно, от 3 до 10 мм. Данной камерой хирург имеет возможность не только контролировать ход операции под увеличением, но и есть возможность осмотра других органов брюшной полости (почки, печень, селезенка, мочевой пузырь) на наличие каких-либо видимых отклонений, что невозможно сделать полноценно при проведении стерилизации «открытым» способом


Так же, проведение операции под четким контролем лапароскопа позволяет снизить возможность неполного удаления ткани яичника, что может привести к возникновению симптомов течки в дальнейшем. - При удалении яичников не накладывается лигатура, а проводится коагуляция связки яичника специальным биполярным инструментом, без использования шовного материала. При использовании этой техники исключены реакции на шовный материал.
- После удаления матки и яичников дефект мышц ушивают обычным способом, а кожный дефект- склеивается специальным кожным клеем, что значительно упрощает послеоперационный уход за животным.

После данной операции не нужно снимать и обрабатывать швы, так как их нет!
Подготовка к лапароскопической стерилизации такая же, как и при любом другом оперативном вмешательстве. Необходимо соблюдение голодной диеты в течение 10-12 часов, исключение воды за два часа до операции. Всем животным, особенно возрастным мы рекомендуем сдать предоперационный комплекс анализов- общий клинический анализ крови и биохимия, для исключения скрытых патологий внутренних органов. Перед операцией каждое животное проходит осмотр анестезиолога. При наличии показаний животному могут быть рекомендованы дополнительные предоперационные исследования (осмотр кардиолога, рентгенографическое исследование, УЗИ и т.д).