В настоящее время разрыв передней крестовидной связки – одна из самых распространенных патологий коленного сустава у собак. После осмотра врач – ортопед зачастую рекомендует операцию. Однако для владельцев зачастую сложно в стрессовой ситуации определиться с выбором операции, а зачастую непонятно чем одна операция отличается от другой.
При разрыве передней крестовидной связки коленного сустава существуют три основных ветви лечения этой патологии:
- Протезирование связки, используя аутортрансплант или имплант из синтетических материалов
- Мягкотканные техники
- Околосуставные техники с изменением биомеханики сустава.
- Техники с применением костной пластики
Рассмотрим основные достоинства каждого вида операций.
Но для начала краткий экскурс в то, что же происходит в суставе: при разрыве передней крестовидной связки естественным образом нарушается ее функция, которая состоит в том, чтобы не давать смещаться большеберцовой кости вперед и ограничивать вращение большеберцовой кости вовнутрь. Как следствие бедренная кость как бы «сползает» назад при сгибании лапы и тем самым травмирует медиальный мениск, растягивает капсулу сустава, повреждает суставные поверхности, вызывая воспаление и, впоследствии – артроз

При применении аутотранспланта или имплантов из синтетических материалов достоинством таких методов выступает то, что они наиболее близко копируют природное расположение передней крестовидной связки и естественную биомеханику сустава, однако одним из главнейших минусов является опасность отторжения импланта, инвазивность и возможность импланта порваться или растянуться.
Мягкотканные техники, такие как дупликатура капсулы сустава, направлены на то, чтобы усилить существующий метод фиксации разрыва передней крестовидной связки, и, если выполнены в одиночном варианте, зачастую не могут полностью стабилизировать сустав.
Околосуставные техники с изменением биомеханики сустава включают в себя наложение специальных швов вне сустава; описано множество техник, включая применение костных анкеров или проведение нити через костные туннели. Нить, используемая в этих техниках зачастую представляет из себя синтетический материал, такой как нейлон\лавсан\ полиэстер. Эти техники могут выполняться с наложением или без наложения клипсы.

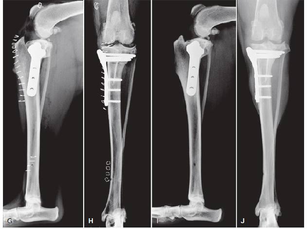
Из основных методов костной пластики на сегодняшний момент следует выделить три – это TPLO, TTA и TTO. Остановимся подробней на каждом из них.

TPLO(tibial plateau leveling osteotomy) поворачивает плато большеберцовой кости таким образом, что меняет биомеханику сустава так, что, что при сгибании сустава бедренная кость больше не сдвигается назад, достигается снятие нагрузки с наклона плато большеберцовой кости, и, как следствие, необходимость в передней крестообразной связке отпадает.

TTA(tibial tuberosity advancement) представляет собой остеотомию большеберцовой бугристости, которая не несет весовой нагрузки. Остоетомия выполняется таким образом, что достигается угол в 90 градусов между склоном плато большеберцовой кости, тем самым нивелируется тяга каудального смещения бедренной кости, и опять же необходимость в передней крестообразной связке отпадает.

TTO(triple tibial osteotomy) – биомеханические основы работы этого метода схожи с методом TPLO, только при выполнении этого метода уменьшение угла скоса большеберцового плато достигается не за счет поворота плато, а за счет выпиливания клина в большеберцовой кости.

В современной ветеринарной практике наиболее надежными являются методы костной пластики, так как за счет того, что они изменяют биомеханику сустава, осложнений с имплантом связки не может произойти, так как импланта внутри сустава нет. Конечно осложнения, связанные с обычной практикой операций на костях остаются и здесь.
Подводя итог, можно сказать, что все техники являются действенными при лечении разрыва передней крестообразной связки, и зачастую выбор операции рекомендуется врачом в зависимости от результатов, которые он получает при использовании данных методик, но наиболее предсказуемый результат у техник, использующих костную пластику.